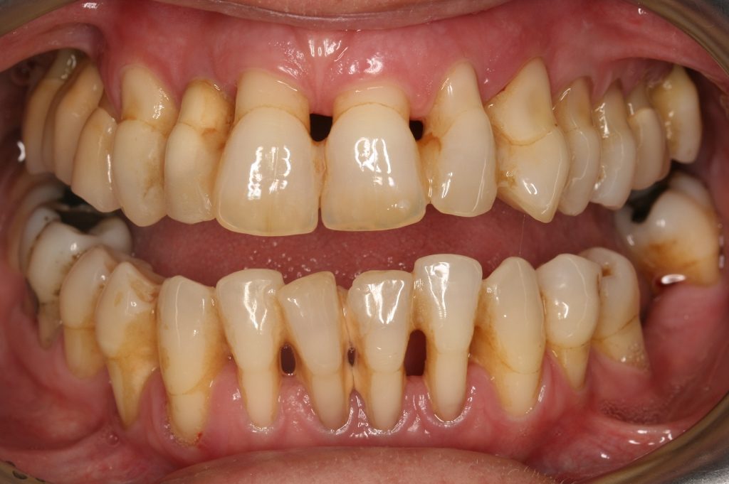
Diyabet oral mikrobiyomda değişiklikleri tetikleyerek ve enflamasyonu artırarak kemik kaybına sebep oluyor.
Pensilvanya Üniversitesi’nde yapılan bir çalışmada araştırmacılar diyabetik fare ile sağlıklı farenin oral mikrobiyomunu karakterize ederek ilginç sonuçlara ulaştılar. Diyabetik farede oluşan hiperglisemi (=şeker yüksekliği) oral mikrobiyomda kontrol grubundaki farelere göre daha az çeşitliliğe sahip bakteri ile sonuçlanıyor. Aynı zamanda, diyabetik farelerde dişte kemik kaybı oluşuyor, enflamatuvar sinyallerden IL-17’de artış oluyor.
Oral mikrobiyomdaki değişiklikle periodontitis arasında bir ilişki olmasına rağmen, bulgular mikrobiyal değişikliklerin direk periodontitise yol açtığını kanıtlamıyor. Bunu açıklamak için de araştırmacılar diyabetik faredeki mikroorganizmaları normal farelere transfer ediyor. Ardından alıcı farelerde kontrol grubu farelere göre yüzde 42 oranında kemik kaybı gözlemleniyor.
Çalışmanın sonucuna göre mikrobiyom periodontitise sebep olabilir. Özellikle enflamatuvar sitokinlerden IL-17’nin ise bu süreçte rol oynadığını, anti IL-17 antikoru ile transferden önce muamele edilen farelerde daha az kemik kaybı görülmesiyle açıklıyorlar.
Bu yüzden özellikle periodontitisin semptomlarının giderilmesinde IL-17 tedavisinin effektif olabileceği speküle ediliyor. Aynı zamanda diyabetik hastaların oral hijyene önem vermesinin önemi de bu noktada ortaya çıkmış oluyor.
Kaynaklar

